What is the lung disease linked to quartz countertops?
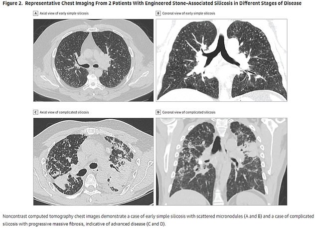
The lung disease most closely associated with quartz and other engineered stone countertops is silicosis, a chronic and often fatal condition caused by inhaling fine crystalline silica dust released when these materials are cut, ground, or polished.[1][2] Engineered stone used for kitchen and bathroom countertops typically contains very high levels of crystalline silica, so workers can be exposed to dangerous dust levels if proper controls are not in place.[1][2]
Once inhaled, silica particles lodge deep in the lungs, provoking inflammation and permanent scarring that gradually impair breathing.[1] People with silicosis may develop progressive shortness of breath, persistent cough, fatigue, and chest pain, and severe cases can lead to respiratory failure, increased susceptibility to infections, chronic obstructive pulmonary disease, autoimmune disorders, and lung cancer.[1] Because the damage is irreversible and there is no cure, prevention of exposure is the only reliable way to avoid this disease.[1][4]
Why is this becoming a growing health crisis?
Over the past decade, doctors and public health officials have reported a surge of silicosis cases among engineered stone countertop workers in multiple countries, including the United States.[1][3][4] Many affected workers are relatively young and have developed rapidly progressive, advanced disease after only a few years of exposure, with some requiring lung transplants or dying from respiratory failure.[1][4]
Medical studies and case reports presented at major conferences describe engineered stone silicosis as an emerging epidemic, driven by the rapid expansion of the quartz countertop market and inadequate control of silica dust in fabrication shops.[1][4] High-profile media stories about workers in states such as California and Massachusetts have brought national attention to the issue, prompting urgent calls for stronger regulations, better enforcement, and, in some places, consideration of bans on high-silica engineered stone products.[3][4]
Safety measures, regulation, and consumer impact
In light of rising case numbers, experts and advocacy groups are urging strict safety measures for any workplace that cuts or finishes quartz and other engineered stone countertops, including banning dry cutting, using wet methods and local exhaust ventilation, and ensuring consistent use of properly fitted respirators.[2][3][4] Expanded medical surveillance, such as regular lung function tests and imaging for exposed workers, is also recommended to detect disease earlier and prevent further exposure.[1][4]
Some physicians and regulators argue that because silicosis is entirely preventable through effective dust control, the continued use of very high–silica engineered stone may not be justifiable, and they support phasing out or banning these materials altogether.[3][4] For consumers, the primary risk is indirect: the health harms fall on the workers who fabricate and install countertops rather than on people living with finished surfaces, but growing awareness may influence future design choices and demand for safer, lower-silica or alternative materials.[2][3][4]


